都市伝説・・・奇憚・・・blog
都市伝説を中心にホラー、オカルト系の話題をお楽しみください。
メールはyoshizo0@hotmail.co.jpへ
☆☆投稿やまとめて欲しい話題のタレコミなど、情報提供受付中!
☆☆気がつけば1億PV☆☆
【画像閲覧注意】ゴムひもが目に直撃、虹彩が変形して視界ぼやける 台湾の男性
2019.04.17 (Wed) | Category : 洒落にならない怖い話・その他
1みつを★2019/04/15(月)02:43:26.62ID:9vponqUU9
3:名無しさん@1周年 2019/04/15(月)02:52:36.09ID:N0FTP4uw0
出川の番組で河北とかゴムパッチンやらされてるけどヤバいんだな
29:名無しさん@1周年 2019/04/15(月)13:40:44.74ID:ac3MKezR0
>>3
出川はプロだからな
7:名無しさん@1周年 2019/04/15(月)02:59:48.39ID:hqZVpvd/0
こんなことあるんだな
8:名無しさん@1周年 2019/04/15(月)03:03:21.56ID:4lS+JH68O
貴重な写真だな
虹彩の後ろは黒目が存在してる
9:名無しさん@1周年 2019/04/15(月)03:09:05.39ID:8/ZdbDx80
目がハートじゃん!
10:名無しさん@1周年 2019/04/15(月)03:15:32.95ID:en9wrFqk0
角膜移植できるぐらいだから
再生は、そう難しい手術ではなかったんだろうな
12:名無しさん@1周年 2019/04/15(月)03:42:45.41ID:oq//Kqx50
こんなになった光彩を元に戻せるとか
すげーな
目医者すげー
13:名無しさん@1周年 2019/04/15(月)04:03:36.38ID:QZfNMEk90
今更ゆーとぴあのゴムパッチン芸をリメイクする芸人はおらんだろうが、若年層YouTuberの挑戦ネタなら充分に有りだ。要注意!!
15:名無しさん@1周年 2019/04/15(月)06:12:44.41ID:TjZRQYX80
マジかよ
やっぱゴムパッチンって危ないんだな
16:名無しさん@1周年 2019/04/15(月)06:15:38.52ID:hrZ3PMxK0
思ったより閲覧注意だった・・
21:名無しさん@1周年 2019/04/15(月)06:46:33.29ID:oTsNoQPF0
手術想像してゾッとした
24:名無しさん@1周年 2019/04/15(月)08:46:21.34ID:XethWTCE0
思ったよりひどく変形してた
26:名無しさん@1周年 2019/04/15(月)09:17:37.40ID:57/X4Hxz0
治せるもんなんだな
つーかこえーw
38:名無しさん@1周年 2019/04/16(火)17:31:15.09ID:sqDTM3ZG0
こんなでも治るのねこれ
40:名無しさん@1周年 2019/04/16(火)17:41:21.42ID:PgV9G1ow0
切れたギターの弦が直撃して失明した人もいたっけね
引用元:【画像閲覧注意】ゴムひもが目に直撃、虹彩が変形して視界ぼやける 台湾の男性
http://asahi.5ch.net/test/read.cgi/newsplus/1555263806/
.
https://www.cnn.co.jp/fringe/35135633.html
ゴムひもが目に直撃、虹彩が変形して視界ぼやける 台湾の男性
2019.04.14Sunpostedat19:01JST
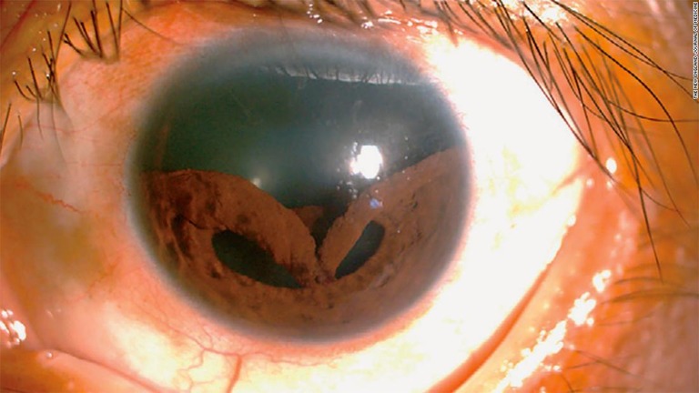
(CNN)1週間にわたって目の痛みや物が二重に見える経験をした台湾の男性(48)が診断を受けたところ、虹彩が変形していたことがわかった。台湾大学病院の医師が症例を発表した。
同病院の医師が最初の診断を行ったところ、男性の左のまぶたが腫れており、左の虹彩が変形していたことがわかった。
さらに細隙灯を使って検査したところ、虹彩の上の部分が垂れ下がり、時計の9時から3時の位置にかけて分離していることがわかった。
今回のような虹彩離断は、単眼複視や視界不良、光恐怖症などを引き起こすことがあるという。
オートバイに荷物をくくりつけるさいに利用していたゴムひもが目に直接ぶつかってしまったことが今回の虹彩の変形の原因だった。
専門家によれば、虹彩の筋肉が動いて瞳孔の大きさを変えることで目に入ってくる光の量が調整される。暗い部屋では瞳孔が大きく開き、たくさんの光を取り入れる。明るく晴れた日は瞳孔が収縮して、入ってくる光の量を抑える。今回のような症状は比較的珍しいが、スポーツなどによって引き起こされることも多いという。
台湾の男性は手術を受けることで、虹彩の変形を直し、視力も改善したという。
画像閲覧注意
男性の虹彩が変形していたことがわかった/The New England Journalof Medicine
https://blog.cnobi.jp/v1/blog/user/e69ed3eeb9f8b596f967cb932622c661/1555483092
3:名無しさん@1周年 2019/04/15(月)02:52:36.09ID:N0FTP4uw0
出川の番組で河北とかゴムパッチンやらされてるけどヤバいんだな
29:名無しさん@1周年 2019/04/15(月)13:40:44.74ID:ac3MKezR0
>>3
出川はプロだからな
7:名無しさん@1周年 2019/04/15(月)02:59:48.39ID:hqZVpvd/0
こんなことあるんだな
8:名無しさん@1周年 2019/04/15(月)03:03:21.56ID:4lS+JH68O
貴重な写真だな
虹彩の後ろは黒目が存在してる
9:名無しさん@1周年 2019/04/15(月)03:09:05.39ID:8/ZdbDx80
目がハートじゃん!
10:名無しさん@1周年 2019/04/15(月)03:15:32.95ID:en9wrFqk0
角膜移植できるぐらいだから
再生は、そう難しい手術ではなかったんだろうな
12:名無しさん@1周年 2019/04/15(月)03:42:45.41ID:oq//Kqx50
こんなになった光彩を元に戻せるとか
すげーな
目医者すげー
13:名無しさん@1周年 2019/04/15(月)04:03:36.38ID:QZfNMEk90
今更ゆーとぴあのゴムパッチン芸をリメイクする芸人はおらんだろうが、若年層YouTuberの挑戦ネタなら充分に有りだ。要注意!!
15:名無しさん@1周年 2019/04/15(月)06:12:44.41ID:TjZRQYX80
マジかよ
やっぱゴムパッチンって危ないんだな
16:名無しさん@1周年 2019/04/15(月)06:15:38.52ID:hrZ3PMxK0
思ったより閲覧注意だった・・
21:名無しさん@1周年 2019/04/15(月)06:46:33.29ID:oTsNoQPF0
手術想像してゾッとした
24:名無しさん@1周年 2019/04/15(月)08:46:21.34ID:XethWTCE0
思ったよりひどく変形してた
26:名無しさん@1周年 2019/04/15(月)09:17:37.40ID:57/X4Hxz0
治せるもんなんだな
つーかこえーw
38:名無しさん@1周年 2019/04/16(火)17:31:15.09ID:sqDTM3ZG0
こんなでも治るのねこれ
40:名無しさん@1周年 2019/04/16(火)17:41:21.42ID:PgV9G1ow0
切れたギターの弦が直撃して失明した人もいたっけね
引用元:【画像閲覧注意】ゴムひもが目に直撃、虹彩が変形して視界ぼやける 台湾の男性
http://asahi.5ch.net/test/read.cgi/newsplus/1555263806/
.
PR
カレンダー
スポンサードリンク
ブログ内検索
カテゴリー
アーカイブ
過去50ヶ月分を表示しています
アクセス解析


この記事にコメントする
Title : 無題
局部麻酔で目の手術って怖いねぇ...
経験者だけど(笑)
かぼ 2019.04.19 (Fri) 05:26 編集
Re:無題
怖いよねえ
コンタクトすら怖くてつけられないワタシには考えられない話ですわ
2019.04.19 11:19