都市伝説・・・奇憚・・・blog
都市伝説を中心にホラー、オカルト系の話題をお楽しみください。
メールはyoshizo0@hotmail.co.jpへ
☆☆投稿やまとめて欲しい話題のタレコミなど、情報提供受付中!
☆☆気がつけば1億PV☆☆
【米国】「世界一辛い」トウガラシ(キャロライナ・リーパー)を食べて脳血管にダメージ 34歳男性、直後に激しい頭痛を訴えて入院
2018.05.16 (Wed) | Category : トピックス
1:ばーど★[]投稿日:2018/04/10(火)12:43:54.06ID:CAP_USER9.net
3:名無しさん@1周年[]投稿日:2018/04/10(火)12:44:53.23ID:e051uoIH0.net
×トウガラシ
○毒
5:名無しさん@1周年[]投稿日:2018/04/10(火)12:45:13.35ID:ibNFLxGy0.net
アホやろ
6:名無しさん@1周年[]投稿日:2018/04/10(火)12:45:18.27ID:ZM0QY4vZ0.net
それもう毒だろ…
10:名無しさん@1周年[]投稿日:2018/04/10(火)12:46:14.25ID:Join6DMc0.net
内部損傷するだろうな危ない
15:名無しさん@1周年[]投稿日:2018/04/10(火)12:47:01.52ID:12W0/zI50.net
必殺!キャロライナリーパーぁぁぁあ!
35:名無しさん@1周年[]投稿日:2018/04/10(火)12:50:09.75ID:XiOKshlR0.net
ハバネロより辛いジョロキアは知ってたけどそれより辛いのが出てきてたのか
36:名無しさん@1周年[]投稿日:2018/04/10(火)12:50:11.97ID:JEY84eq2O.net
劇物指定したほうがよくね?
37:名無しさん@1周年[]投稿日:2018/04/10(火)12:50:32.76ID:LowuSuMp0.net
>>1
>キャロライナ・リーパーの辛さはハラペーニョの400倍以上
すげぇw
45:名無しさん@1周年[]投稿日:2018/04/10(火)12:51:41.07ID:xEUmf5Cf0.net
毎年違う唐辛子出てないか?
53:名無しさん@1周年[sag]投稿日:2018/04/10(火)12:52:26.57ID:gU/RsEOA0.net
結局どのトウガラシが一番辛いねんw
104:名無しさん@1周年[]投稿日:2018/04/10(火)13:07:11.37ID:rZI9IRKE0.net
辛味は痛みだからな。味覚じゃなく痛覚。
だから、自ら摂取しにいくヤツは、どマゾ。
116:名無しさん@1周年[]投稿日:2018/04/10(火)13:10:15.80ID:Khe/gdnu0.net
毒じゃん毒
184:名無しさん@1周年[]投稿日:2018/04/10(火)13:27:52.82ID:U6fZkgiSO.net
プロレス技みたいな名前しやがって
224:名無しさん@1周年[]投稿日:2018/04/10(火)13:44:19.09ID:2QysVGUG0.net
タバスコ 2,500スコヴィル
ハラペーニョ 8,000スコヴィル
ハバネロ 35万スコヴィル
ブートジョロキア 100万スコヴィル
ウルトラデスソース 117万スコヴィル
トリニダードスコーピオン 146万スコヴィル
キャロライナリーパー 220万スコヴィル←ここ
ドラゴンズブレス 240万スコヴィル
272:名無しさん@1周年[]投稿日:2018/04/10(火)14:11:24.17ID:/6PbWrxT0.net
スコヴィル値
160億 純粋なレシニフェラトキシン、化学やけどを引き起こす毒素
1600万 純粋なカプサイシン、ジヒドロカプサイシン
710万 ザ・ソース(オリジナル・フアン・スペシャルティ・フーヅ社の製品)
530万 警察官用トウガラシスプレー原料(実際には数十倍に薄めて使用される)
240万 英国で開発されたトウガラシの新品種「ドラゴンズ・ブレス」
200万 一般用トウガラシスプレー原料(実際には数十倍に薄めて使用される)
156万9300-220万 キャロライナ・リーパー(キャロライナの死神)
10万-35万 ハバネロ
10万-12万5000 カイエンペッパー
5万-10万 タイ・ペッパー(プリッキーヌー)
4万-5万 鷹の爪
7000-8000 タバスコ・ハバネロソース
2500-8000 ハラペーニョ
27:名無しさん@1周年[]投稿日:2018/04/10(火)12:49:03.46ID:Xk23LaND0.net
鈴木亜美ヤバい
32:名無しさん@1周年[]投稿日:2018/04/10(火)12:49:30.59ID:awOhVWvy0.net
鈴木亜美ならば平気で食べそう。
43:名無しさん@1周年[]投稿日:2018/04/10(火)12:51:32.28ID:3i6FJVlx0.net
鈴木亜美もそのうち同じことになりそう
68:名無しさん@1周年[]投稿日:2018/04/10(火)12:55:02.16ID:e3wLqhPF0.net
↓鈴木亜美さんからのコメント
92:名無しさん@1周年[]投稿日:2018/04/10(火)13:04:11.13ID:V69CSI2z0.net
なんでそこで亜美(?_?)
126:名無しさん@1周年[]投稿日:2018/04/10(火)13:13:45.31ID:UWnOQNQF0.net
鈴木亜美に食わせよう
145:名無しさん@1周年[]投稿日:2018/04/10(火)13:17:37.50ID:8xmNlk3A0.net
鈴木あみはすでに血管の2~3本切れてるんじゃないか?
362:名無しさん@1周年[]投稿日:2018/04/10(火)16:23:02.59ID:mxxSoJ8m0.net
テレビ番組で激辛料理を食べたりしてるけど、
そういうのも無くなるんかなあ。
鈴木亜美、気の毒に。
401:名無しさん@1周年[]投稿日:2018/04/10(火)17:03:16.12ID:dnT9BeuK0.net
鈴木亜美もそろそろ逝くなコリャ
引用元:【米国】「世界一辛い」トウガラシ(キャロライナ・リーパー)を食べて脳血管にダメージ 34歳男性、直後に激しい頭痛を訴えて入院
https://www.logsoku.com/r/2ch.sc/newsplus/1523331834/
(※管理人注:鈴木亜美さんはいつのまにか「激辛の女王」と呼ばれ、あばれる君に「地獄から来た女」とか呼ばれたらしいです)
.
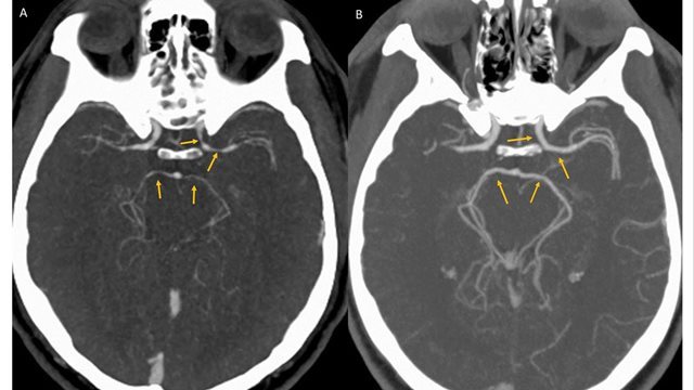
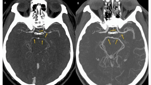
「世界一辛い」トウガラシを食べた男性の脳血管に狭窄が見つかった
(CNN)米ニューヨークで開かれたトウガラシの大食い大会で、世界一辛いといわれる「キャロライナ・リーパー」というトウガラシを食べた挑戦者の男性が、直後に激しい頭痛を訴えて病院に運ばれた。神経科の専門医が9日の医学誌BMJに発表した症例報告で明らかにした。
患者は34歳の男性で、頭と首の激しい痛みを訴えて病院の集中治療室に運ばれた。大会でキャロライナ・リーパーを食べた直後に後頭部に激痛が走り、頸部から頭部にかけてたちまち痛みが広がったという。
病院で検査した結果、脳出血や脳梗塞は起きていないことが判明。しかしCT血管造影を使って脳内の血管を調べたところ、左側の内頸(ないけい)動脈など脳につながる4本の血管に大きな狭窄(きょうさく)が見つかり、トウガラシが原因と思われる可逆性脳血管攣縮(れんしゅく)症候群(RCVS)と診断された。
専門家によると、RCVSは雷に打たれたような激しい頭痛を伴う疾患で、大抵は数日から数週間で回復するが、重症化すると命にかかわることもある。通常はトウガラシではなく、頭痛薬などの医薬品やコカインなどの違法薬物が関係する。
トウガラシに多く含まれるカプサイシンという化学物質は、身体の特定部位の血管を狭窄させる作用があることが分かっており、局所医薬品にも少量が使われる。
しかしトウガラシがRCVSを引き起こした症例の報告は今回が初めてだという。キャロライナ・リーパーの辛さはハラペーニョの400倍以上といわれている。
男性は治療を受けて快方へ向かい、数日後に退院した。5週間後の検査では、血管狭窄の症状は解消されていたという。
2018.04.10Tuepostedat11:01JST
CNNニュース
https://www.cnn.co.jp/fringe/35117471.html
3:名無しさん@1周年[]投稿日:2018/04/10(火)12:44:53.23ID:e051uoIH0.net
×トウガラシ
○毒
5:名無しさん@1周年[]投稿日:2018/04/10(火)12:45:13.35ID:ibNFLxGy0.net
アホやろ
6:名無しさん@1周年[]投稿日:2018/04/10(火)12:45:18.27ID:ZM0QY4vZ0.net
それもう毒だろ…
10:名無しさん@1周年[]投稿日:2018/04/10(火)12:46:14.25ID:Join6DMc0.net
内部損傷するだろうな危ない
15:名無しさん@1周年[]投稿日:2018/04/10(火)12:47:01.52ID:12W0/zI50.net
必殺!キャロライナリーパーぁぁぁあ!
35:名無しさん@1周年[]投稿日:2018/04/10(火)12:50:09.75ID:XiOKshlR0.net
ハバネロより辛いジョロキアは知ってたけどそれより辛いのが出てきてたのか
36:名無しさん@1周年[]投稿日:2018/04/10(火)12:50:11.97ID:JEY84eq2O.net
劇物指定したほうがよくね?
37:名無しさん@1周年[]投稿日:2018/04/10(火)12:50:32.76ID:LowuSuMp0.net
>>1
>キャロライナ・リーパーの辛さはハラペーニョの400倍以上
すげぇw
45:名無しさん@1周年[]投稿日:2018/04/10(火)12:51:41.07ID:xEUmf5Cf0.net
毎年違う唐辛子出てないか?
53:名無しさん@1周年[sag]投稿日:2018/04/10(火)12:52:26.57ID:gU/RsEOA0.net
結局どのトウガラシが一番辛いねんw
104:名無しさん@1周年[]投稿日:2018/04/10(火)13:07:11.37ID:rZI9IRKE0.net
辛味は痛みだからな。味覚じゃなく痛覚。
だから、自ら摂取しにいくヤツは、どマゾ。
116:名無しさん@1周年[]投稿日:2018/04/10(火)13:10:15.80ID:Khe/gdnu0.net
毒じゃん毒
184:名無しさん@1周年[]投稿日:2018/04/10(火)13:27:52.82ID:U6fZkgiSO.net
プロレス技みたいな名前しやがって
224:名無しさん@1周年[]投稿日:2018/04/10(火)13:44:19.09ID:2QysVGUG0.net
タバスコ 2,500スコヴィル
ハラペーニョ 8,000スコヴィル
ハバネロ 35万スコヴィル
ブートジョロキア 100万スコヴィル
ウルトラデスソース 117万スコヴィル
トリニダードスコーピオン 146万スコヴィル
キャロライナリーパー 220万スコヴィル←ここ
ドラゴンズブレス 240万スコヴィル
272:名無しさん@1周年[]投稿日:2018/04/10(火)14:11:24.17ID:/6PbWrxT0.net
スコヴィル値
160億 純粋なレシニフェラトキシン、化学やけどを引き起こす毒素
1600万 純粋なカプサイシン、ジヒドロカプサイシン
710万 ザ・ソース(オリジナル・フアン・スペシャルティ・フーヅ社の製品)
530万 警察官用トウガラシスプレー原料(実際には数十倍に薄めて使用される)
240万 英国で開発されたトウガラシの新品種「ドラゴンズ・ブレス」
200万 一般用トウガラシスプレー原料(実際には数十倍に薄めて使用される)
156万9300-220万 キャロライナ・リーパー(キャロライナの死神)
10万-35万 ハバネロ
10万-12万5000 カイエンペッパー
5万-10万 タイ・ペッパー(プリッキーヌー)
4万-5万 鷹の爪
7000-8000 タバスコ・ハバネロソース
2500-8000 ハラペーニョ
27:名無しさん@1周年[]投稿日:2018/04/10(火)12:49:03.46ID:Xk23LaND0.net
鈴木亜美ヤバい
32:名無しさん@1周年[]投稿日:2018/04/10(火)12:49:30.59ID:awOhVWvy0.net
鈴木亜美ならば平気で食べそう。
43:名無しさん@1周年[]投稿日:2018/04/10(火)12:51:32.28ID:3i6FJVlx0.net
鈴木亜美もそのうち同じことになりそう
68:名無しさん@1周年[]投稿日:2018/04/10(火)12:55:02.16ID:e3wLqhPF0.net
↓鈴木亜美さんからのコメント
92:名無しさん@1周年[]投稿日:2018/04/10(火)13:04:11.13ID:V69CSI2z0.net
なんでそこで亜美(?_?)
126:名無しさん@1周年[]投稿日:2018/04/10(火)13:13:45.31ID:UWnOQNQF0.net
鈴木亜美に食わせよう
145:名無しさん@1周年[]投稿日:2018/04/10(火)13:17:37.50ID:8xmNlk3A0.net
鈴木あみはすでに血管の2~3本切れてるんじゃないか?
362:名無しさん@1周年[]投稿日:2018/04/10(火)16:23:02.59ID:mxxSoJ8m0.net
テレビ番組で激辛料理を食べたりしてるけど、
そういうのも無くなるんかなあ。
鈴木亜美、気の毒に。
401:名無しさん@1周年[]投稿日:2018/04/10(火)17:03:16.12ID:dnT9BeuK0.net
鈴木亜美もそろそろ逝くなコリャ
引用元:【米国】「世界一辛い」トウガラシ(キャロライナ・リーパー)を食べて脳血管にダメージ 34歳男性、直後に激しい頭痛を訴えて入院
https://www.logsoku.com/r/2ch.sc/newsplus/1523331834/
(※管理人注:鈴木亜美さんはいつのまにか「激辛の女王」と呼ばれ、あばれる君に「地獄から来た女」とか呼ばれたらしいです)
.
PR
カレンダー
スポンサードリンク
ブログ内検索
カテゴリー
最新記事
(03/18)
(03/18)
(03/18)
アーカイブ
過去50ヶ月分を表示しています
アクセス解析


この記事にコメントする